
¿Cómo dominar el diseño de sonrisa mediante composite estratificado y estratificación dental avanzada?
Contenido
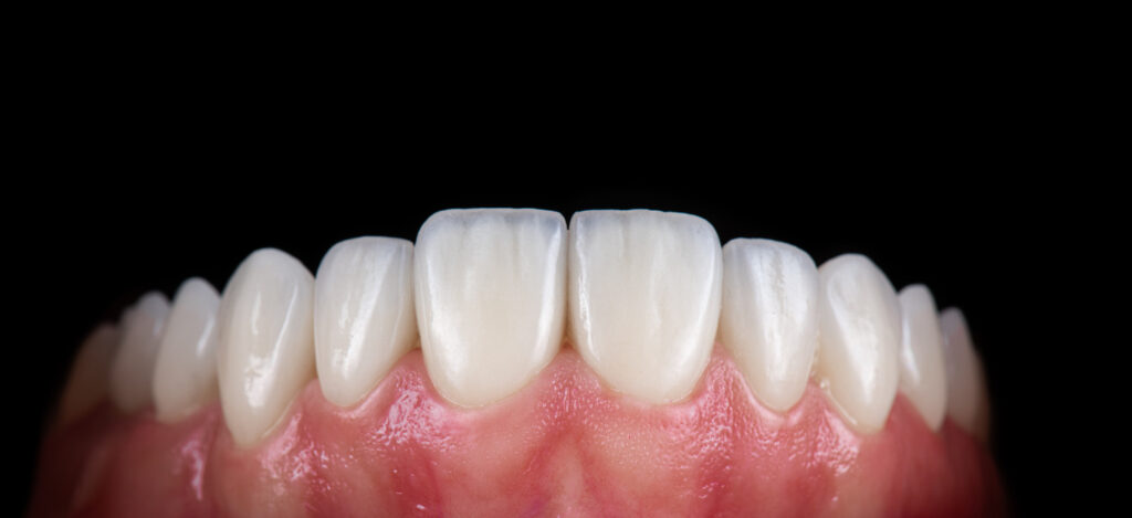
El composite estratificado es una de las técnicas más importantes para dominar el diseño de sonrisa en odontología restauradora moderna. A través de una correcta estratificación dental, el clínico puede reproducir forma, color, translucidez y textura del diente natural sin recurrir a tratamientos invasivos. Cuando se ejecuta correctamente, permite resultados altamente estéticos, funcionales y duraderos, alineados con los principios de la odontología mínimamente invasiva.

¿Por qué el composite estratificado es clave en el diseño de sonrisa actual?
El diseño de sonrisa moderno ya no se basa únicamente en carillas cerámicas. El composite estratificado ofrece una alternativa altamente predecible, conservadora y reversible, especialmente indicada en pacientes jóvenes o en casos donde se desea preservar al máximo el tejido dental.
Ventajas clínicas del composite estratificado
- Preserva estructura dental sana
- Permite control absoluto del color y la forma
- Es reparable y ajustable en el tiempo
- Reduce costes biológicos y económicos
- Facilita tratamientos progresivos
Ejemplo clínico
Un paciente con diastemas, bordes incisales desgastados y alteraciones leves de color puede ser rehabilitado mediante estratificación dental directa, sin tallados agresivos ni provisionales, logrando una sonrisa armónica en una sola cita.
¿Qué es la estratificación dental y cómo se aplica correctamente en el composite estratificado?
La estratificación dental es la técnica mediante la cual se colocan diferentes capas de composite con propiedades ópticas y mecánicas específicas para imitar la anatomía interna del diente natural. No se trata solo de colocar material, sino de reconstruir la lógica biológica del esmalte y la dentina.
Capas fundamentales en el composite estratificado
- Dentina: aporta croma, cuerpo y soporte estructural.
- Esmalte: define translucidez, valor y profundidad óptica.
- Efectos: opalescencias, halos y caracterizaciones.
Errores frecuentes
- Usar un solo composite para toda la restauración
- No respetar el grosor real del esmalte
- Falta de planificación previa del color
- Pulido inadecuado que arruina el resultado final
Ejemplo clínico
En una restauración de incisivo central fracturado, la correcta estratificación permite recrear el halo incisal y la transición cromática, evitando restauraciones planas y artificiales.

¿Cómo integrar el composite estratificado en protocolos de diseño de sonrisa predecibles?
El éxito del diseño de sonrisa con composite comienza antes de tocar el diente. La planificación es tan importante como la ejecución.
Protocolo clínico recomendado
- Análisis facial y dental
- Fotografías clínicas estandarizadas
- Mock-up diagnóstico
- Selección correcta del sistema de composite
- Aislamiento absoluto
- Estratificación dental paso a paso
- Acabado y pulido de alto nivel
Relación con técnicas modernas
El composite estratificado se integra perfectamente con:
- Diseño de sonrisa digital (DSD)
- Flujos mínimamente invasivos
- Adhesión dental moderna
- Protocolos biomiméticos
Este enfoque es ampliamente desarrollado en la formación clínica de Autrán Dental Academy, donde se trabaja la estratificación con casos reales y criterios científicos.
¿Qué beneficios clínicos ofrece el composite estratificado frente a otras técnicas estéticas?
- Máximo control estético en clínica
- Mayor preservación dentaria
- Resultados naturales y personalizados
- Posibilidad de retoques futuros
- Excelente relación coste–beneficio
Además, el composite estratificado permite educar visualmente al paciente, mostrando el antes y después de forma inmediata, lo que incrementa la aceptación del tratamiento.
Preguntas frecuentes (FAQs)
En muchos casos sí, especialmente cuando se busca una opción conservadora.
Con buen mantenimiento y técnica correcta, puede durar muchos años.
Requiere formación, práctica y criterio estético, pero es totalmente dominable.
No. También cumple una función biomecánica importante.






