Buenas prácticas ¿Cómo dominar la ortopantomografía interpretación para mejorar tu diagnóstico odontológico?
Buenas prácticas ¿Por qué la sobredentadura sobre implantes es una de las mejores opciones para rehabilitar al paciente edéntulo?
Buenas prácticas ¿Qué es la odontología basada en la evidencia y cómo aplicarla en la práctica clínica?
Buenas prácticas ¿Cómo elaborar un consentimiento informado en odontología claro, legal y clínicamente eficaz?
Buenas prácticas ¿Cómo utilizar los articuladores semiajustables para lograr precisión en rehabilitación oral?
Sinus Lift Surgery - implant installation. 3D illustration Buenas prácticas ¿Qué es la regeneración ósea vertical y por qué es determinante en la rehabilitación implantológica?
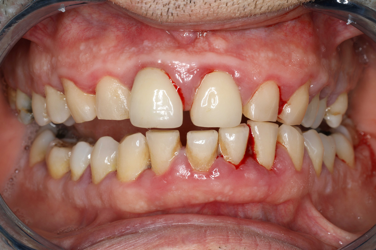
Bone grafting augmentation for tooth implantation. Medically accurate 3D illustration. Buenas prácticas ¿Qué es la cirugía periodontal regenerativa y por qué es clave para conservar dientes a largo plazo?
Medical theme, female hands wearing gloves and a surgical gown, holding a saliva ejector, dentistry. Buenas prácticas ¿Qué es la cirugía preprotésica y por qué es clave para el éxito de tus rehabilitaciones?
Buenas prácticas ¿Cómo dominar el diseño de sonrisa mediante composite estratificado y estratificación dental avanzada?
Dentist treating patient with dental tool while male colleague adjusting light at clinic Buenas prácticas ¿Cómo aprender rehabilitación oral avanzada integrando la técnica 4 manos en odontología?