
¿Cómo cambia la sonrisa en un caso de periodonditis avanzada antes y después del tratamiento?
Contenido
La periodontitis avanzada antes y después del tratamiento muestra una diferencia clínica y biológica significativa: pasamos de un periodonto inflamado, con pérdida ósea y movilidad dentaria, a tejidos más estables, sin sangrado y con mejor pronóstico funcional, siempre que se aplique un tratamiento de la periodoncia correctamente planificado y mantenido.
¿Qué observamos clínicamente en la periodontitis avanzada antes del tratamiento?
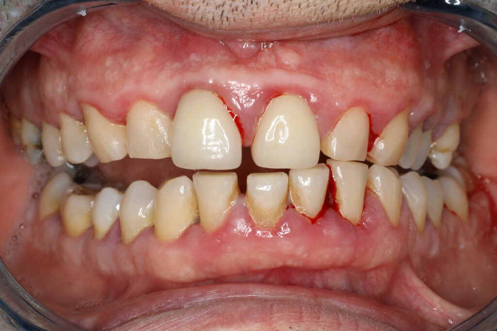
En la fase inicial de evaluación de una periodoncia avanzada, el odontólogo suele encontrar bolsas periodontales profundas, sangrado al sondaje, supuración, recesiones, migraciones dentarias y pérdida ósea horizontal o vertical visible radiográficamente. El paciente puede referir halitosis, movilidad y dificultad masticatoria.

Ejemplo clínico
Paciente de 52 años, fumador, con bolsas de 7–9 mm en sectores posteriores y movilidad grado II en incisivos inferiores. Radiográficamente se evidencia pérdida ósea severa. Este escenario representa claramente la periodontitis avanzada antes y después como punto de partida del plan terapéutico.
En Autran Dental Academy insistimos en una fase diagnóstica exhaustiva, integrando sondaje periodontal completo, análisis de factores de riesgo y documentación fotográfica. Puedes profundizar en este enfoque en nuestro artículo sobre técnica de tunelización en cirugía plástica periodontal.
¿Cómo se aborda el tratamiento de la periodoncia en casos avanzados?
El tratamiento de la periodoncia avanzada se estructura en fases. Primero, una fase etiológica con raspado y alisado radicular, control de placa y modificación de hábitos. Posteriormente, en casos seleccionados, se recurre a cirugía periodontal resectiva o regenerativa.
La Sociedad Española de Periodoncia y Osteointegración (SEPA) establece guías de práctica clínica basadas en la evidencia para el tratamiento de la periodontitis en sus diferentes estadios, proporcionando un marco de referencia actualizado para los profesionales.

Ejemplo clínico
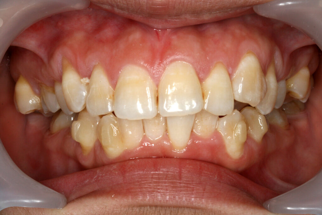
Tras la fase no quirúrgica, el paciente anterior reduce bolsas a 4–5 mm. Se decide cirugía regenerativa con biomateriales en defectos infraóseos. A los 12 meses, se observa estabilidad clínica y ganancia de inserción.
Este «después» en la periodontitis avanzada antes y después demuestra que la planificación correcta cambia el pronóstico. Te recomendamos revisar nuestros cursos de periodoncia para consolidar tus conocimientos en protocolos de mantenimiento periodontal.
¿Qué resultados podemos esperar después del tratamiento periodontal avanzado?
Tras un abordaje integral, el «después» de la periodoncia avanzada incluye disminución del sangrado, reducción de bolsas, mejor función masticatoria y estabilidad a largo plazo, siempre apoyada por un programa de mantenimiento periodontal estricto.
El seguimiento es clave. Sin mantenimiento, incluso el mejor tratamiento fracasa.
¿Cuándo es necesaria la rehabilitación tras el tratamiento periodontal?
Una vez finalizado el tratamiento de la periodoncia y alcanzada la estabilidad tisular (generalmente tras 3–6 meses), muchos pacientes requieren rehabilitación protésica o restauradora para recuperar función y estética.
Opciones de rehabilitación
- Carillas directas o indirectas
- Coronas clínicas estéticas
- Prótesis fija o sobre implantes
- Técnicas combinadas de periodoncia avanzada y rehabilitación oral
Ejemplo clínico
Paciente con triángulos negros severos postratamiento periodontal. Se realiza un encerado diagnóstico y rehabilitación con carillas cerámicas para cerrar espacios y armonizar la sonrisa.
Te invitamos a profundizar en este enfoque multidisciplinar en nuestro artículo sobre carillas dentales: claves para un tratamiento exitoso.
¿Cómo contribuye el diseño de sonrisa en pacientes con periodoncia avanzada?
El diseño de sonrisa se convierte en una herramienta clave tras el control de la enfermedad periodontal. Mediante análisis facial, dentolabial y digital (DSD), el odontólogo puede devolver confianza al paciente, adaptando la nueva sonrisa a los límites biológicos del periodonto tratado.
En pacientes con periodontitis avanzada antes y después, el diseño de sonrisa no busca ocultar la enfermedad pasada, sino reconstruir la estética respetando la salud periodontal.
En Autran Dental Academy formamos profesionales capaces de integrar periodoncia, rehabilitación y estética. Descubre nuestros programas de diseño de sonrisa clínico y cómo hacer carillas de resina paso a paso.
Preguntas frecuentes
No, pero sí es posible controlarla y estabilizarla con el tratamiento adecuado.
No. Tras el tratamiento periodontal, muchos dientes reducen su movilidad y pueden conservarse.
Sí, es esencial para sostener los resultados en el tiempo. Sin un programa de mantenimiento adecuado, existe riesgo de recidiva.






